El término avulsión dental describe una situación clínica en la que el diente sale de su alveolo tras un impacto traumático. De todos los traumatismos dentarios, la avulsión es uno de los más graves, ya que no sólo están seccionados los vasos y nervios, sino que también se desgarra el ligamento periodontal y se deshidrata durante el tiempo de permanencia fuera de boca.
Factores importantes al tratar un diente avulsionado
- Tiempo fuera del alveolo (tiempo extraalveolar).
- Medio de conservación y transporte capaz de mantener la viabilidad de las células del ligamento periodontal.
- Tipo y duración de la Ferulización.
- Estado de la pulpa y del conducto radicular.
- Etapa de desarrollo radicular.
La elección del tratamiento está relacionada con la madurez de la raíz (ápice abierto o cerrado) y el estado de las células del ligamento periodontal; este último dependerá del tiempo que el diente estuvo fuera de la boca y del medio de transporte en el que se colocó.
Medios de transporte sugeridos para dientes avulsionados
Lo más recomendable es instruir al paciente para que coloque el diente nuevamente en posición de inmediato, pero si esto no es posible se debe colocar el diente en un medio de almacenamiento y acercarse lo más rápido posible al consultorio.
Es muy importante indicarle al paciente que no toque la raíz del diente, que solo lo manipule por la corona.
Mientras el diente esté fuera de boca, lo más importante es mantenerlo en un medio húmedo, esto será fundamental para la supervivencia de las células ligamento periodontal. Después de un tiempo de secado extraalveolar de 30 minutos, la mayoría de las células del ligamento son inviables. Por esta razón, debemos hacer la siguiente pregunta ¿Cuánto tiempo estuvo el diente fuera de boca y donde?, ya que dependiendo de la respuesta tendremos un pronosticos mejor o peor.
Entre los medios de almacenamiento o transporte se encuentran:
Leche
Los estudios reportan que la leche conserva la vitalidad de un buen número de fibroblastos durante 3 a 6 horas, período suficiente para que el paciente llegue a la consulta dental y se le realice el reimplante
El uso de la leche como medio de almacenamiento ha ganado mucha popularidad debido a su fácil disponibilidad, rentabilidad y osmolaridad fisiológica. Los estudios en la literatura han investigado varias formas de leche, incluida la leche entera, la leche descremada, la leche con bajo contenido de grasa, la fórmula para bebés y la leche de larga duración. Con un pH de 6,5 a 7,2 y la presencia de nutrientes esenciales importantes para mantener la viabilidad de las células del ligamento periodontal, la leche puede considerarse un medio de almacenamiento aceptable en la mayoría de las situaciones.
Solución balanceada de Hank’s (HBSS)
Es una solución salina estándar isotónica estéril y fisiológicamente equilibrada, no es tóxica; es biocompatible con las células del ligamento periodontal, tiene un pH equilibrado en 7,2 y una osmolalidad de 320 mOsm/kg.
Evita la reabsorción radicular en un 91%. Ha sido estudiado en profundidad mostrando que en las primeras 24 horas de almacenamiento, los fibroblastos se mantienen vitales, por lo que la reabsorción es escasa; y que después de 4 días de almacenamiento los dientes presentan reabsorción moderada.
La Asociación Estadounidense de Endodoncistas recomienda el uso de Solución balanceada de Hank’s como el medio de almacenamiento de elección para el tratamiento de dientes avulsionados debido a su capacidad para proporcionar conservación a largo plazo de la viabilidad de las células del ligamento periodontal. Sin embargo, HBSS no está disponible en la mayoría de los lugares donde estos eventos traumáticos suelen ocurrir, como la escuela, el hogar, los campamentos y los campos deportivos, donde las personas son físicamente activas.
Krasner y Person han desarrollado un sistema de almacenamiento de dientes avulsionados y un sistema de conservación de dientes de emergencia (Save-A-Tooth), que contiene HBSS, una red para sujetar los dientes de forma atraumática y un recipiente para llevar el diente sumergido al odontólogo. La literatura indica que HBSS es superior a muchos otros medios de almacenamiento en su capacidad para preservar la vitalidad y viabilidad celular. Es un medio de almacenamiento deseable para los dientes avulsionados, incluso cuando el período extraalveolar es extenso (entre 72 y 96 horas)
Saliva
La saliva no es el medio más adecuado para el almacenamiento prolongado de dientes avulsionados. Puede usarse como medio de almacenamiento durante un período corto de tiempo, ya que puede dañar el células del ligamento periodontal, si se usan durante más de una hora.
Su osmolalidad (60-70 mOsm/kg) es mucho más baja que la fisiológica, por lo que el almacenamiento de dientes avulsionados en la saliva durante 2 a 3 horas provoca inflamación y daño de la membrana de las células del ligamento periodontal y también la presencia de microorganismos hace que la saliva sea un medio de almacenamiento menos deseable.
En 1 hora, puede causar aproximadamente el doble de daño que el HBSS o la leche. Sin embargo, el almacenamiento de saliva produce un tercio menos de daño celular que el almacenamiento en seco o el almacenamiento en agua del grifo. Así, la saliva puede considerarse un medio aceptable de almacenamiento a corto plazo (menos de 30 minutos) y su uso debe limitarse a los casos en los que la duración extraalveolar sea menor y no se disponga de otros medios de almacenamiento.
Agua
El agua es el medio de transporte menos adecuado pues al ser hipotónica desencadena la lisis celular, adicionalmente el almacenamiento en agua más de veinte minutos provoca grandes reabsorciones radiculares.
El agua del grifo debe usarse solo para evitar la deshidratación de los dientes, pero es inadecuada para la conservación de los dientes avulsionados.
Solución Salina
La solución salina es una solución de NaCl al 0,90% y osmolalidad de 280 mOsm/kg. A pesar de ser compatible con las células del ligamento periodontal, carece de nutrientes esenciales, como magnesio, calcio y glucosa, que son fundamentales para el necesidades metabólicas normales de las células del ligamento periodontal.
La solución salina parece ser adecuada para el almacenamiento a corto plazo de dientes avulsionados durante aproximadamente 2 horas, sin embargo, es potencialmente perjudicial si las células se almacenan durante más tiempo. En consecuencia, la solución salina no es un medio adecuado, sin embargo, puede emplearse por un corto período de tiempo.
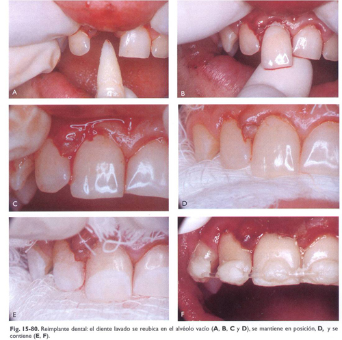
Tratamiento de urgencia en la consulta odontológica, con tiempo de almacenamiento extraoral inferior a 60 minutos
1.
Lavar con delicadeza el alveolo con solución salina estéril antes de proceder a la reimplantación.
2.
Lavar cuidadosamente la superficie radicular con abundante irrigación con suero salino, leche o solución de Hanks. Es importante sujetar el diente solo por la corona.
3.
Reimplantar el diente suavemente con presión digital. Por lo general, el diente efectúa un "clic" cuando se vuelve a colocar en su posición.
Tratamiento tras el reimplante
1.
Ferulizar durante 14 días.
2.
Recolocación de tejidos gingivales, suturar si es necesario.
3.
Prescripción de antibióticos de amplio espectro.
4.
Informar al paciente que debe mantener una higiene oral estricta.
Referencias Bibliográficas:
- 1. Abraham, Y., Christy, R., Gomez-Kunicki, A., Cheng, T., Eskarous, S., Samaan, V., Khan, A., & Sholapurkar, A. (2020). Management of Dental Avulsion Injuries: A Survey of Dental Support Staff in Cairns, Australia. Dentistry journal,9(1),4. [https://doi.org/10.3390/dj9010004]
- 2. Khinda, V., Kaur, G., S Brar, G., Kallar, S., & Khurana, H. (2017). Clinical and Practical Implications of Storage Media used for Tooth Avulsion. International journal of clinical pediatric dentistry,10(2),158–165. [https://doi.org/10.5005/jp-journals-10005-1427]
- 3. Fouad, AF, Abbott, PV, Tsilingaridis, G, et al. International Association of Dental Traumatology guidelines for the management of traumatic dental injuries: 2. Avulsion of permanent teeth. Dent Traumatol.2020;36: 331– 342. [https://doi.org/10.1111/edt.12573]
- 4. Adnan, S, Lone, MM, Khan, FR, Hussain, SM, Nagi, SE. Which is the most recommended medium for the storage and transport of avulsed teeth? A systematic review. Dent Traumatol. 2018; 34: 59– 70. [https://doi.org/10.1111/edt.12382](https://doi.org/10.1111/edt.12382)
- 5. Quintana, C. (2007). Medios de almacenamiento y transporte para dientes avulsionados. Odontología Sanmarquina. 2007; 10(2): 24-28
- 6. Cameron, A., Widmer, R. (2010). Manual de odontología pediátrica. Editorial Mosby. Tercera edición. Barcelona. España.
- 7. Cohen, L., Berman, L. (2008) Manuel Clínico de Traumatología Dental. Editorial Mosby. Primera edición. Barcelona. España.
- 8. García, C., Pérez. L., Cózar, A. (2003). Nuevas tendencias en el tratamiento de la avulsión dental. RCOE versión impresa ISSN 1138-123X.
