En la cabeza de un bebé de cuatro meses fue detectado un tumor cerebral poco frecuente que contenía dientes múltiples completamente formados. Según una investigación del The New England Journal Of Medicine, al parecer se trataría del primer caso registrado en todo el mundo de desarrollo de dientes dentro de este tipo de tumor cerebral.
En un primer momento, los médicos se alarmaron cuando notaron que la cabeza del bebé crecía más rápido de lo esperado. Una resonancia magnética (MRI) reveló que tenía un tumor cerca de la hipófisis, dentro del cual se encontraban piezas dentales muy similares a los de la mandíbula inferior.
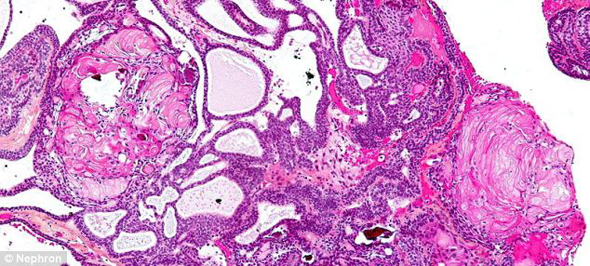
Dr. Narlin Beaty, neurocirujano en la Universidad de Maryland Medical Center, quien realizó la cirugía del niño, señaló que No todos los días se ven los dientes en cualquier tipo de tumor en el cerebro. En un craneofaringioma, es inaudito.


En el estudio, publicado, los investigadores sostienen que el tumor Craneofaringioma Adamantinomatosa (extirpado quirúrgicamente), surgió de la Bolsa de Rathke, precursor embrionario de una parte de la hipófisis. Esos tumores a veces están rellenos de líquido viscoso de color amarillo que contiene cristales de colesterol. Sin embargo, nunca antes se habían documentado casos con dientes dentro de ellos louis vuitton outlet
Transcurrido ya un año desde de la operación, el niño progresa de forma positiva, si bien tiene que someterse regularmente a MRI para asegurarse de que el tumor no se reproduce.
