El virus del VIH ataca al Sistema Inmunológico de las personas, debilitándolo y haciéndoles vulnerables ante a una serie de infecciones, algunas de las cuáles ponen en peligro la vida.
En la consulta odontológica no todos los pacientes le referirán al especialista que presenta vih, por tal motivo el profesional de la salud deberá tratar a todos sus pacientes tomando las mismas medidas de bioseguridad.
1.
Uso de vestimenta protectora y barreras aislantes (guantes, tapaboca, mascara protectora, batas, gorros) en cada caso atendido.
2.
Lavado de manos antes, durante y después del tratamiento.
3.
Esterilización y desinfección del consultorio, materiales y equipo.
4.
Eliminación del material descartable.
Si el paciente ingresa a la consulta manifestando su enfermedad, es importante que el odontólogo conozca el estado actual de su infección. Para ello sería de utilidad consultar al médico tratante, si se desconoce el estatus del paciente, el odontólogo no deberá realizar ningún tipo de práctica ya que podría poner en riesgo la vida del paciente.
Si el paciente no manifiesta su enfermedad, pero existe alguna sospecha, en primer lugar sería oportuno conversar llevándolo confidencialmente a reconocer su enfermedad. Si permanece en su actitud de negación por temor o por desconocimiento real de su situación es conveniente pedir una interconsulta con un médico clínico o infectólogo sugiriéndole un estudio inmunológico del paciente.
Los pacientes infectados por el virus de inmunodeficiencia humana, a menudo sufren de lesiones características en la cavidad bucal y en algunos pacientes las lesiones bucales son la primera manifestación de la enfermedad.

1.
Candidiasis: La candidiasis se presenta en más de un 50% de los pacientes infectados, siendo la eritematosa la que predomina en los primeros estadios y la seudomembranosa en los pacientes que han desarrollado la enfermedad SIDA. Los pacientes por espejo tienen lesiones simultáneas en paladar y dorso de lengua.

2.
Leucoplasia vellosa: Se presenta como una lesión blanquecina, de superficie corrugada, no removible, en los bordes laterales de la lengua en un 10% de los pacientes infectados con el virus del SIDA. Su diagnóstico debe confirmarse con una biopsia

3.
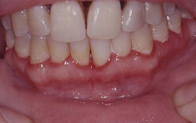
Eritema Lineal Gingival: Se presenta como una franja de color rojo intenso a lo largo de la encía marginal, no relacionada con placa bacteriana. La encía puede estar afectada en toda su extensión o parcialmente.

4.
Periodontitis Necrotizante: es una infección caracterizada por una necrosis del tejido gingival, del ligamento periodontal y del hueso alveolar.

5.
Ulceraciones aftosas recurrentes: Es una enfermedad aguda que afecta a casi toda la mucosa, con excepción de la encía y el paladar duro, en los pacientes infectados con el VIH. Son aftas recurrentes en pacientes inmunodeprimidos. Se presentan como erosiones o ulceraciones superficiales, redondeadas u ovales de 2 a 5 mm. de diámetro, con un fondo amarillento de tejido necrótico y rodeadas por un halo rojizo inflamatorio. Su número es variable, muy dolorosas, que duran más de 8 o 10 días, para luego reaparecer un tiempo después.

6.
El Sarcoma de Kaposi: se inicia como una mancha o placa eritematosa o violácea que no hace relieve. Su localización habitual es el paladar o la encía, pero lo hemos visto en la lengua. La lesión progresivamente va haciendo relieve hasta convertirse en una masa tumoral de crecimiento rápido. Simultáneamente se pueden apreciar otras lesiones en diferentes partes del cuerpo. Es necesario la confirmación con una biopsia.
Fuentes del artículo:
Clínica de Ortodoncia Dr. Arthur Nouel
La odontología en la lucha contra el sida