La parótida es la más voluminosa de las glándulas salivales mayores, siendo esta la productora de una gran cantidad de saliva de predominio seroso. Por ser una estructura que tiene relación directa con la cavidad bucal, el odontólogo debe encontrarse capacitado para identificar, diagnosticar y tratar las diferentes patologías que pueden afectar esta estructura. Para ello la evaluación de un paciente que presente una lesión parotídea, debe resultar en el desarrollo de un diagnóstico diferencial entre una lesión neoplásica y no neoplásica de la misma.
Actualmente se conoce que la incidencia a nivel mundial de tumores en las glándulas salivares es relativamente baja (13 casos por cada 100.000 habitantes), en comparación con los diferentes tipos de tumores que se desarrollan en la cabeza y el cuello. Sin embargo dentro de estos la glándula parótida es frecuentemente la más afectada, abarcando un 60% a un 75% de los casos.
Entre las lesiones neoplásicas benignas más frecuentes tenemos el Adenoma Pleomórfico. Entre las lesiones malignas que se presentan con mayor frecuencia está el Carcinoma Mucoepidermoide. En cuanto a las lesiones no neoplásicas nos encontramos con infecciones agudas o crónicas ocasionadas por bacterias, virus, hongos o incluso parásitos.
METODOS DE DIAGNÓSTICO
Evaluación clínica del paciente:
Para la evaluación inicial del paciente con sintomatología y signos clínicos de una afectación parotídea, debe iniciarse con el llenado de una adecuada historia médica y la correcta realización de un examen físico, para poder distinguir un proceso infeccioso u obstructivo de una proceso neoplásico. Para ello es importante considerar la edad, sexo, antecedentes familiares y personales del paciente.
La evaluación extraoral nos permite determinar el grado de inflamación, la presencia o ausencia de sensibilidad al tacto, eritema y aumento de temperatura. La evaluación intraoral permitirá determinar la presencia o ausencia de sialolitos que obstruyan el conducto parotídeo. De igual forma es importante evaluar durante la exploración intraoral la cantidad y calidad de la saliva producida por esta glándula. Aunado a esto se debe analizar tanto el paladar blando como el espacio lateral de la faringe, pudiéndose observar lesiones tumorales presentes en el lóbulo profundo de la parótida.

Los nódulos linfáticos cervicales deben ser explorados ya que pueden dar al clínico la impresión de adenopatías o metástasis producida por la lesión. Posterior a esto la integridad de la función del nervio facial debe ser constatada en todo paciente que presente aumento de volumen en la región parotídea.
Exámenes preoperatorios
En un muestra de sangre obtenida de pacientes con alguna afectación parotídea principalmente se buscara y evaluará la deshidratación y la presencia y grado de la leucocitosis en el caso de que el examen físico sugiera un proceso infeccioso.
Una muestra de cultivo para realizar un estudio Gram y antibiograma debe ser tomada en todo los casos que se presente una parotiditis supurativa, preferiblemente antes de iniciar cualquier antibioticoterapia, según sea el caso y magnitud de la afección.
Imagenología
En pacientes donde los síntomas y la clínica nos sugieran alguna alteración inflamatoria está indicada la realización de un radiografía panorámica, la cual permitirá observar la presencia de sialolitos intra glandulares como extra glandulares en el trayecto del conducto.
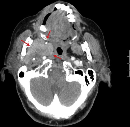
De igual forma se podría utilizar estudios imagenológicos más sofisticados para lograr un correcto diagnóstico, como lo son la tomografía computarizada (TC) la cual debe ser indicada en pacientes en los que se sospeche la presencia de una lesión de tipo infecciosa o la presencia de una neoplasia. Un sustito para la TC es la resonancia magnética (RM- MRI) según la preferencia del clínico.

Técnicas involucradas en el diagnóstico y manejo de las enfermedades parotídeas
La glándula parótida muestra un amplio rango de cambios patológicos, que pueden poner a prueba las habilidades diagnósticas de cualquier profesional en el área. Las lesiones que aparentemente son benignas pueden volverse malignas o viceversa.
La biopsia por aspiración con aguja fina (PAAF) es de gran utilidad para el diagnóstico, sin embargo depender de gran manera de la habilidad y experiencia del operador y de las habilidades diagnósticas del citopatólogo. Los resultados que sean arrojados deben ser considerados en conjunto con la historia médica, examen físico y los estudios imagenológicos para poder llegar a un correcto diagnóstico.
Conclusión
En vista de que la cavidad bucal no se encuentra aislada, sino que es el sitio de relación de muchas estructuras anatómicas, como es el caso específico de la glándula parótida, es importante que el profesional de la odontología tenga a la mano las herramientas para identificar, diagnosticar e idear un plan de tratamiento o bien sea canalizar a sus pacientes al especialista capacitado para tratar estas patologías.
Referencias Bibliográficas:
- Gregoire C. Salivary gland tumors: the parotid gland. In: Bagheri S, Bell B, Ali Kahn H, editors. Current therapy in oral and maxillofacial surgery. St Louis (MO): Saunders Elsevier; 2012. p. 450-60
- -Carlson E, Webb D. The Diagnosis and Management of Parotid Disease. Oral Maxillofacial Surg Clin N Am. 2013;25(1):31-48